Cosmetic Procedures

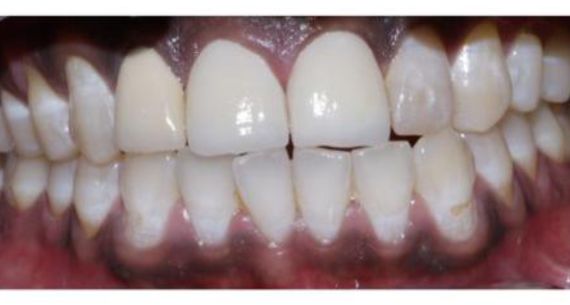
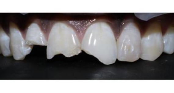
If you have a chipped tooth, discolored teeth (yellow or brown), cracks or gaps in your teeth or simply like to improve your smile, a procedure called bonding which uses tooth colored materials (composite resin) can quickly and comfortably improve your appearance. Discolored teeth can be whitened by bleaching

Awesome Image

Before

Awesome Image

After

For Appointment

We don’t want you to think what is the best for you. We know what it is and will make everything to help.