Braces and Aligners

Unveil the magic of a perfectly aligned smile with Rudra Dental's exceptional orthodontic solutions. Our braces and aligners are designed to reshape not only your teeth but also your self-assurance, allowing you to embrace life with renewed confidence. Traditional braces, a time-tested method, gently guide teeth into proper alignment through a series of adjustments. Our modern approach ensures comfort and effective results, making your orthodontic journey as smooth as possible.

For those seeking a more discreet option, our aligners offer a virtually invisible way to achieve straight teeth. These removable, clear trays provide the freedom to eat, brush, and floss without the constraints of traditional braces. With each set of aligners, you'll witness your smile gradually transforming into the masterpiece you've envisioned. At Rudra Dental, we view orthodontics as an art that harmonizes oral health and aesthetics. Whether you choose traditional braces or aligners, our expert team will guide you toward a captivating smile that leaves an unforgettable impression. Unleash the power of a beautifully aligned smile and let your confidence shine like never before.

Awesome Image

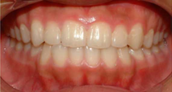
Before

Awesome Image

After

For Appointment

We don’t want you to think what is the best for you. We know what it is and will make everything to help.